6月6日,蘇州工業園區企業海邁醫療科技(蘇州)有限公司傳來喜訊,公司旗下首個國產生物型人工血管LineMatrix耐邁通?FIM臨床試驗在浙江大學醫學院附屬邵逸夫醫院腎內科與血液凈化中心圓滿完成隨訪。
臨床隨訪結果顯示,產品完成植入后,患者術后3月初級通暢率90.9%,累積通暢率100%;術后6月初級通暢率80.8%,累積通暢率100%。人工血管未引發人體免疫反應,無感染及動脈瘤等并發癥發生,產品性能明顯優于ePTFE人工血管,臨床效果優異。

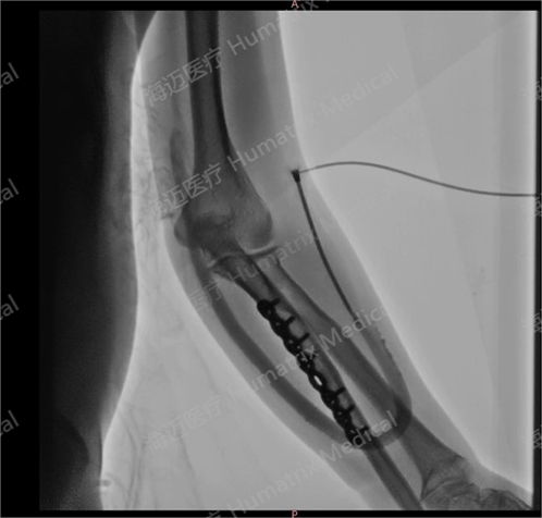
臨床試驗患者使用LineMatrix耐邁通?生物型人工血管長期血液透析,血管造影通暢。
此次臨床試驗由浙江大學醫學院附屬邵逸夫醫院腎內科與血液透析中心主任李華擔任主要研究者。產品于2024年9月24日首例植入,并于2025年6月5日完成所有入組患者臨床隨訪。在李華看來,LineMatrix耐邁通?生物型人工血管用于建立終末期腎臟病患者移植物動靜脈內瘺臨床效果優異。所有患者均使用植入人工血管進行血液透析,初步證實LineMatrix耐邁通?生物型人工血管在人體內的安全性和有效性。“傳統ePTFE人工血管6月初級通暢率最高不超過50-60%。LineMatrix耐邁通?生物型人工血管通暢率高,使用后可顯著減少患者術后干預次數,節省醫保資金并極大減輕患者經濟負擔,為血管通路建立提供國產新方案,有望逐步替代傳統ePTFE人工血管,惠及廣大患者。”
海邁醫療科技(蘇州)有限公司創始人邱雪峰表示,自來到蘇州工業園區創業以來,公司初創團隊在3年內完成首個國產生物型人工血管臨床試驗,離不開園區、BioBAY等給予的大力支持。基于FIM研究優異臨床結果,公司即將啟動LineMatrix耐邁通?生物型人工血管全國多中心產品注冊臨床試驗,快速推進“國產首個”生物型人工血管上市,實現下一代性能更優異人工血管的國產化替代。同時,公司還在開發全球First-in-class的3.5mm內徑人工血管,已在羊心臟原位搭橋模型取得了突破性進展,將實現冠心病冠脈搭橋術50年以來手術方式及手術療效的顛覆性變革。
海邁醫療成立于2021年,是一家臨床階段的組織工程與再生醫學平臺技術公司,為國內唯一、全球第二家具備量產小口徑(內徑≤6mm)組織工程血管能力的企業。公司專注于標準化大規模培養和生產小口徑組織工程血管,產品適應證包括慢性腎透析血管通路建立、下肢動脈外傷(包括戰場血管損傷)血管替代、下肢動脈粥樣硬化及冠狀動脈搭橋術,在此技術平臺上研發、生產其他再生醫學產品,并擴大至全球范圍的臨床研究及商業化。去年5月,公司建成2243平方米的C+A級別GMP生產車間及質檢中心并投入使用,年產量超過3萬根。
編輯 嚴春霞
2025年6月6日



